さいたま市中央区八王子5-12-24
オフィスホワイトニング/ホームホワイトニングのご案内

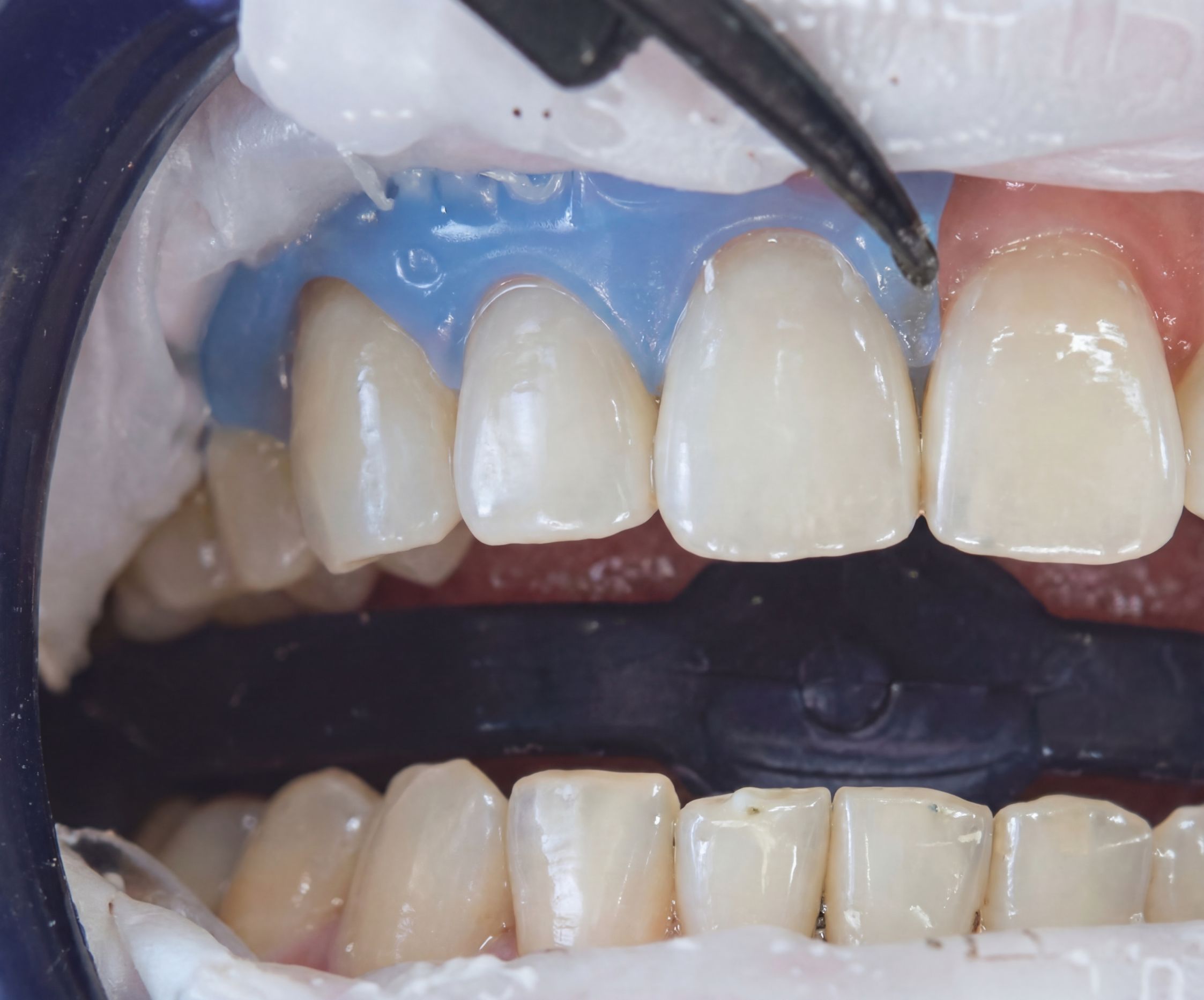
歯科医療機関で、歯科医師による診断のもと行うホワイトニングです。
歯の表面の着色汚れだけでなく、内部の黄ばみも分解します。

ホワイトニングジェルに含まれる有効成分(過酸化水素・過酸化尿素)が、歯を傷めることなく内部まで浸透し、着色汚れや沈着した色素を分解することで歯を白くします。

歯科医療機関で歯の表面にホワイトニングジェルを塗って光を照射し、1回の施術で歯を白くする方法です。






歯にフィットするあなた専用のマウストレーとホワイトニングジェルを使って、自宅などで徐々に歯を白くしていく方法※です。
※ ティオン ホーム ウィズ:1日1回 標準60分(最長90分)の装着を10日間
ティオン ホーム プラチナ:1日1回 最長120分の装着を14日間





多くの方には良好な結果が得られますが、歯の質、変色などの違いにより、その効果には個人差があります。また、医療ホワイトニング後は徐々に元の歯の色に戻ります。
白さを長持ちさせるために、医療機関で定期的にクリーニングを行いましょう。